
订单提交后,10分钟内,我们将安排工作人员和您联系!
江苏科检检测技术有限公司
电话:18326618418
邮箱:
地址:南京市鼓楼区
Masson染色是一种用于显示组织中纤维成分的特殊染色方法,主要用于区分胶原纤维和肌纤维,在病理学和组织学研究中有广泛的应用。**一、染色原理**1. 试剂作用 - **酸性复红**:它是一种酸性染料,能够将细胞质、肌纤维等染成红色。在染色过程中,酸性复红与肌纤维中的碱性蛋白结合,使肌纤维呈现出红
18326618418 立即咨询Masson染色是一种用于显示组织中纤维成分的特殊染色方法,主要用于区分胶原纤维和肌纤维,在病理学和组织学研究中有广泛的应用。
**一、染色原理**
1. 试剂作用
- **酸性复红**:它是一种酸性染料,能够将细胞质、肌纤维等染成红色。在染色过程中,酸性复红与肌纤维中的碱性蛋白结合,使肌纤维呈现出红色。
- **磷钼酸和磷钨酸**:这两种试剂起到分化的作用。它们可以使已染上酸性复红的肌纤维颜色更加鲜明,同时可以去除细胞质中多余的红色染料,使背景更加清晰。
- **苯胺蓝**:是一种碱性染料,主要用于染胶原纤维。胶原纤维在酸性环境下带有正电荷,而苯胺蓝带有负电荷,两者结合后使胶原纤维染成蓝色。
**二、实验材料和设备**
1. 材料
- **组织样本**:通常为石蜡切片或冰冻切片。石蜡切片需要经过固定、脱水、透明、浸蜡等处理;冰冻切片是将组织快速冷冻后切片,能较好地保存组织中的抗原成分,但组织结构可能不如石蜡切片清晰。
- **染色试剂**:Masson染色试剂盒,一般包含酸性复红、磷钼酸、磷钨酸、苯胺蓝等主要染色试剂,还可能包括其他辅助试剂,如冰醋酸、分化液等。
- **其他试剂**:如乙醇(用于脱水)、二甲苯(用于透明)、蒸馏水等。
2. 设备
- **切片机**:用于制作石蜡切片或冰冻切片。
- **染色缸**:盛放各种染色试剂,方便组织切片在不同试剂中浸泡染色。
- **显微镜**:用于观察染色后的组织切片,评估染色效果和组织结构。
- **载玻片和盖玻片**:用于承载组织切片和封片。
**三、实验步骤**
1. 石蜡切片染色步骤
- **脱蜡至水**:
- 将石蜡切片放入二甲苯Ⅰ中浸泡10 - 15分钟,使石蜡溶解,更换二甲苯Ⅱ,再浸泡10 - 15分钟。
- 然后依次放入100%乙醇Ⅰ、100%乙醇Ⅱ、95%乙醇、80%乙醇、70%乙醇各浸泡5分钟左右,最后用蒸馏水冲洗切片,使切片从有机相过渡到水相。
- **染液染色**:
- 将切片放入Weigert铁苏木精染液中染色5 - 10分钟,使细胞核染成黑色。
- 用流水冲洗切片,然后放入酸性复红溶液中染色5 - 10分钟,使细胞质和肌纤维染成红色。
- **分化**:
- 将切片放入磷钼酸 - 磷钨酸溶液中浸泡10 - 15分钟进行分化,使肌纤维颜色更加鲜明,同时去除细胞质中多余的红色染料。
- **苯胺蓝染色**:
- 直接将切片放入苯胺蓝溶液中染色5 - 10分钟,使胶原纤维染成蓝色。
- **脱水、透明和封片**:
- 染色后,将切片依次放入95%乙醇、100%乙醇Ⅰ、100%乙醇Ⅱ各浸泡5分钟左右进行脱水。
- 然后放入二甲苯Ⅰ、二甲苯Ⅱ各浸泡5 - 10分钟进行透明。
- 最后在切片上滴加适量中性树胶,盖上盖玻片,用镊子轻轻按压,使盖玻片与切片贴合紧密,避免产生气泡。
2. 冰冻切片染色步骤
- **固定**:
- 新鲜的冰冻切片从冰箱中取出后,立即放入固定液(如4%多聚甲醛)中固定10 - 15分钟,使组织细胞的形态和结构固定。
- **水洗**:
- 用蒸馏水冲洗切片3 - 5次,每次3 - 5分钟,去除固定液。
- **染液染色、分化和苯胺蓝染色**:
- 步骤与石蜡切片基本相同,但由于冰冻切片没有经过石蜡包埋等处理,组织结构相对脆弱,在操作过程中要更加小心,避免切片损坏。
- **脱水、透明和封片**:
- 因为冰冻切片较薄,脱水和透明时间可以适当缩短。通常在70%乙醇、80%乙醇、95%乙醇、100%乙醇各浸泡3 - 5分钟,二甲苯Ⅰ、二甲苯Ⅱ各浸泡3 - 5分钟,然后进行封片。
**四、结果观察与分析**
1. 细胞核
- 经过Weigert铁苏木精染液染色后,细胞核呈现黑色。可以观察细胞核的大小、形状、位置以及核内结构(如核仁),这有助于判断细胞的类型和状态。
2. 肌纤维
- 被酸性复红染色后呈红色,通过观察肌纤维的分布、走向和形态,可以了解肌肉组织的结构和功能。例如,在心肌组织中,心肌纤维呈分支状,相互连接成网状;在平滑肌组织中,肌纤维呈长梭形,排列较为规则。
3. 胶原纤维
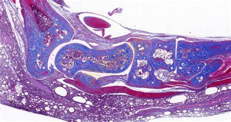
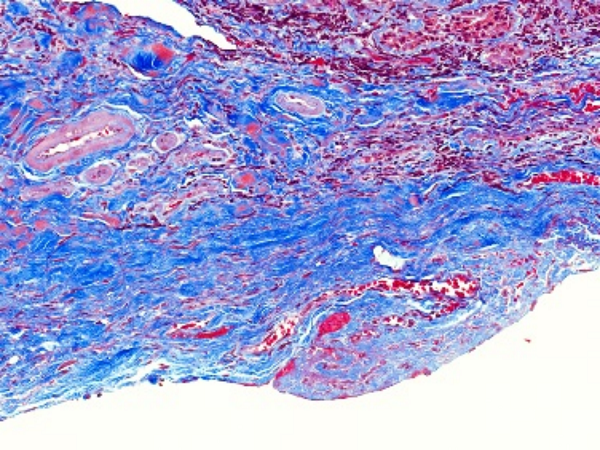
- 被苯胺蓝染色后呈蓝色。可以观察胶原纤维在组织中的分布和含量,这对于研究组织的纤维化程度、创伤修复等过程具有重要意义。例如,在肝脏纤维化的组织中,会出现大量蓝色的胶原纤维增生。
**五、注意事项**
1. 试剂质量和配制
- 染色试剂的质量直接影响染色效果。购买高质量的染色试剂盒,并按照说明书正确配制和保存试剂。例如,Weigert铁苏木精染液需要提前配制并放置一段时间使其成熟后才能使用;苯胺蓝溶液的pH值可能需要根据实际情况进行调整,以获得最佳染色效果。
2. 染色时间和温度
- 染色时间和温度是影响染色效果的关键因素。不同的组织类型、切片厚度和染色试剂的批次等都会导致最佳染色时间的差异。一般在常温下染色,但如果温度较低,染色时间可能需要适当延长。同时,在染色过程中要注意避免切片干燥,以免影响染色效果。
3. 操作过程中的细节
- 在脱蜡、脱水、透明等过程中,要确保试剂的更换及时、彻底。如果脱蜡不彻底,会影响后续的染色;如果脱水不完全,在透明和封片过程中可能会出现云雾状的模糊区域。在封片时,要注意避免产生气泡,气泡会影响观察效果。

特殊染色是病理学和组织学中使用的一种染色方法,用于显示组织或细胞中的特定成分,这些成分在常规的苏木精 - 伊红(HE)染色中可能无法清晰地显示。以下是关于特殊染···...

免疫组化(Immunohistochemistry,IHC)是一种利用抗原 - 抗体特异性反应来定位和定性组织细胞中特定抗原的技术,在病理学、肿瘤学等众多领域发···...

